
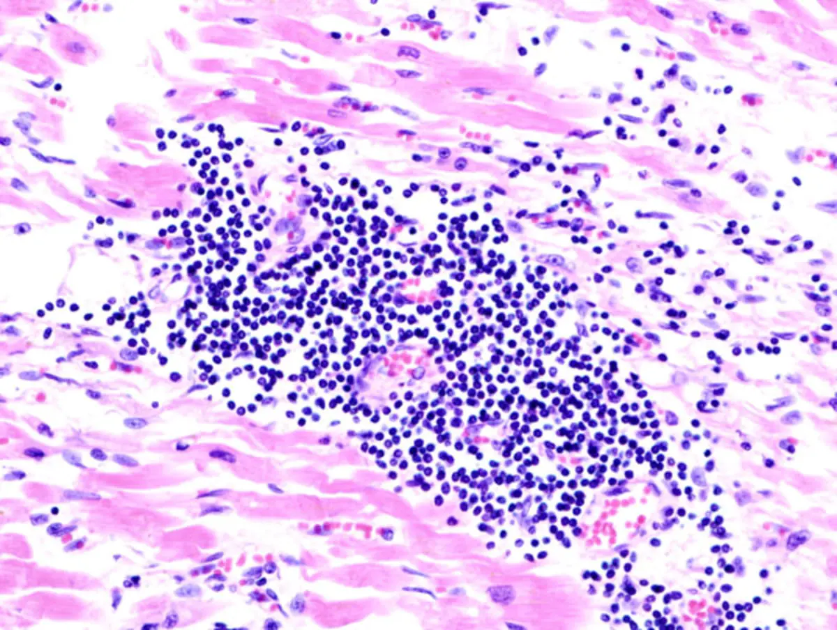
Миокардит — воспалительное поражение сердечной мышцы, возникающее после инфекций или иммунных сбоев. Болезнь крайне сложна для неинвазивного выявления: надежных лабораторных тестов для точного диагноза до сих пор нет. Биопсия миокарда — золотой стандарт, но она инвазивна и применяется редко. Популярные маркеры, такие как тропонин и С-реактивный белок, при миокардите часто в норме.
Поиск новых путей диагностики
Целью исследования был поиск доступных неинвазивных маркеров иммунного воспаления. Ученые сосредоточились на свободных легких цепях иммуноглобулинов. Эти молекулы — продукт активности B-лимфоцитов, ключевых игроков при миокардите. Однако ранее данный показатель почти не использовали в диагностике миокардиальных воспалений.
"Мы постоянно исследуем альтернативы, поскольку ни МРТ, ни тропонин не дают уверенно оценить степень воспаления. Свободные легкие цепи давно зарекомендовали себя в других сферах медицины. Логично было проверить их ценность у больных миокардитом", — подчеркнула профессор кардиологии Сеченовского Университета Ольга Благова.
Как проходило исследование?
В проекте участвовали 99 человек. У 50 подтвердили миокардит, у 49 были невоспалительные сердечные заболевания. Специалисты измеряли уровни свободных легких цепей каппа-типа и лямбда-типа. Эти показатели соотносили с симптомами сердечной недостаточности и биомаркерами повреждения сердечной мышцы.
Обнадеживающие итоги работы
Результаты обнадеживают: повышенный уровень свободных легких цепей выявлен у большинства пациентов с миокардитом. Причем у этих людей показатель четко коррелировал с выраженностью сердечной недостаточности, ухудшением насосной функции сердца и высокими уровнями биомаркеров повреждения. Это доказывает: свободные легкие цепи отражают не просто воспаление, а суровость и негативный прогноз недуга.
Особый интерес вызвали сведения больных, получавших иммуносупрессию. У них уровни цепей каппа-типа были заметно ниже, чем у нелеченных. Это может указывать на чувствительность показателя к подавлению иммунного воспаления. Также анализ цепей помог выявить у некоторых пациентов амилоидоз — недуг, схожий по клинике с миокардитом на ранних стадиях.
Ценный новый инструмент для врачей
Авторы подчеркивают: учитывая малую доступность биопсии и спорность стандартных тестов, определение свободных легких цепей иммуноглобулинов — ценное дополнение к инструментарию врачей. Оно поможет мониторить пациентов с миокардитом и оценивать опасность утяжеления сердечной недостаточности.
Источник: naked-science.ru






